Popis
Inteligentný.
uMammo 590u je navrhnutý tak, aby zabezpečil jednoduchú manipuláciu a pocit istoty pri mamografii. Našim cieľom je poskytnúť presný a spoľahlivý skríning rakoviny prsníka, čím sa otvára cesta ku včasnej diagnostike a kvalitnejšiemu životu.
Jednoduché ovládanie
uMammo 590u umožňuje jednoduché, automatizované a presné vyšetrenie za menej než päť minút. Jeho inteligentné technológie a jednoduchý pracovný postup zvyšujú efektivitu a prekonávajú prekážky v prístupe ku starostlivosti, čím robí špičkový skríning prístupným pre každého.
Polohovanie jedným kliknutímStlačením polohovacieho tlačidla sa C-rameno automaticky presunie do cieľového uhla podľa prednastaveného akvizičného protokolu. |
Inteligentná kompresiaJednoduchým stlačením pedála sa kompresná lopatka automaticky zastaví v ideálnej polohe a pri optimálnej kompresnej sile. |
Automatizovaná expozícia za 5 sekúndPodržaním ručného spúšťača po dobu dvoch pípnutí sa vykoná expozícia s optimálnymi parametrami. |
AI diagnostika do 3 sekúndSystém okamžite deteguje abnomality, vykoná merania a pripraví BI-RADS správu ešte skôr, než sa stihnete usadiť. Systém je špeciálne navrhnutý na analýzu mamografických snímok s mimoriadnou presnosťou. |
Komfort: 20% redukcia dávky a starostlivosť so zameraním na ženy
uMammo 590u spája pokročilú technológiu zameranú na zníženie dávky žiarenia a prístup orientovaný na pohodlie pacientky
![]() |
![]() |
Kontrola expozícieJe zabezpečená prostredníctvom technológie uDose, ktorá automaticky vyhodnocuje radiačné charakteristiky prsníka pomocou full-panel AEC a volí optimálne parametre na získanie kvalitných snímok pri znížení dávky žiarenia. |
Optimalizovaný systém s kvalitným obrazomOdolná röntgenka s vysokou tepelnou kapacitou a účinným ventilátorovým chladením spoľahlivo odvádza teplo. Malopixelový a-Si detektor prináša vysokú viditeľnosť aj tých najmenších lézií a zároveň ponúka skvelú stabilitu pri rôznych teplotách a vlhkosti. |
![]() |
|
Optimalizovaná kompresiaInteligentná kompresia sama rozpozná ideálny moment na zastavenie a po expozícii prsník hneď uvoľní. |
|
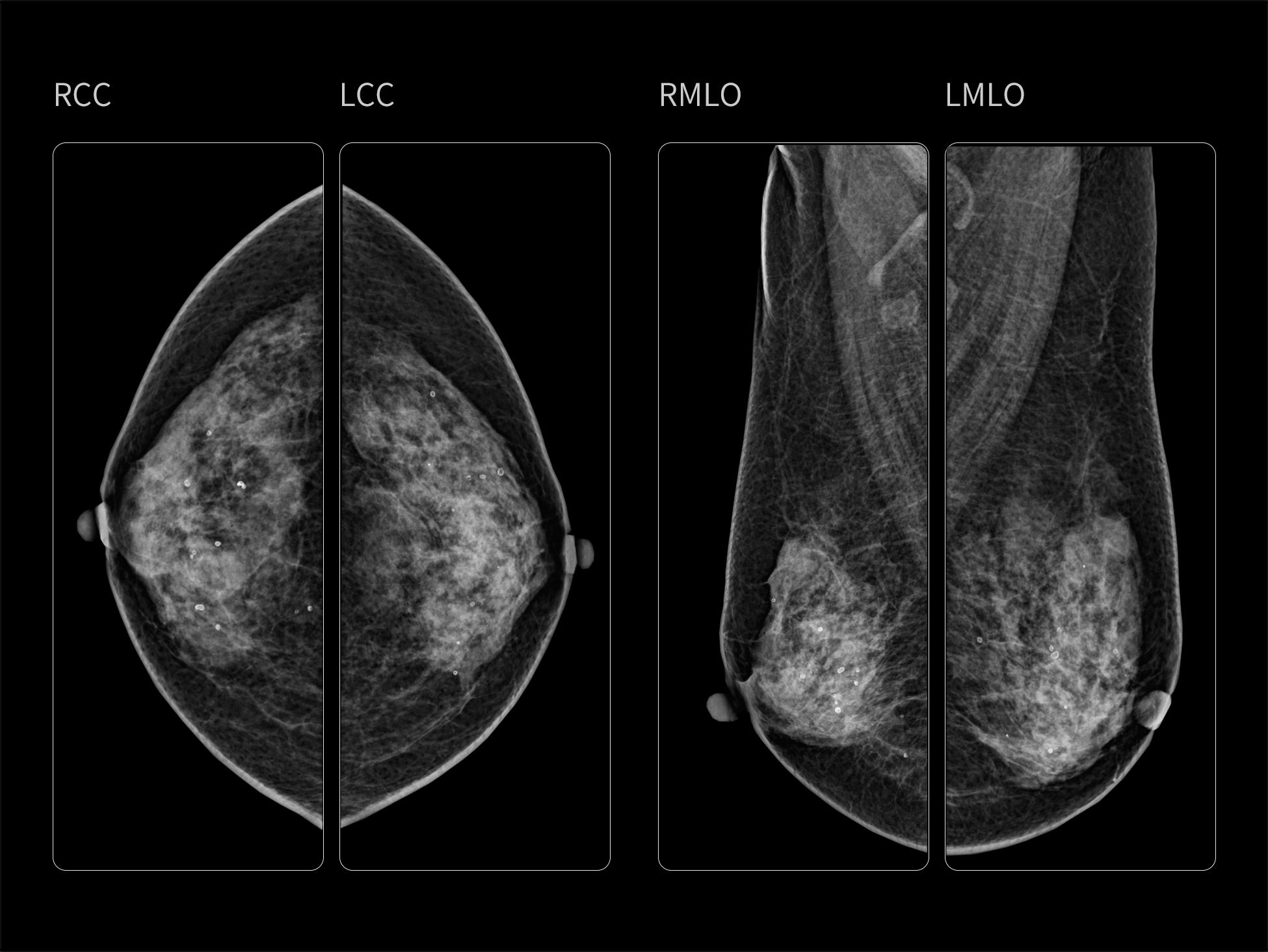
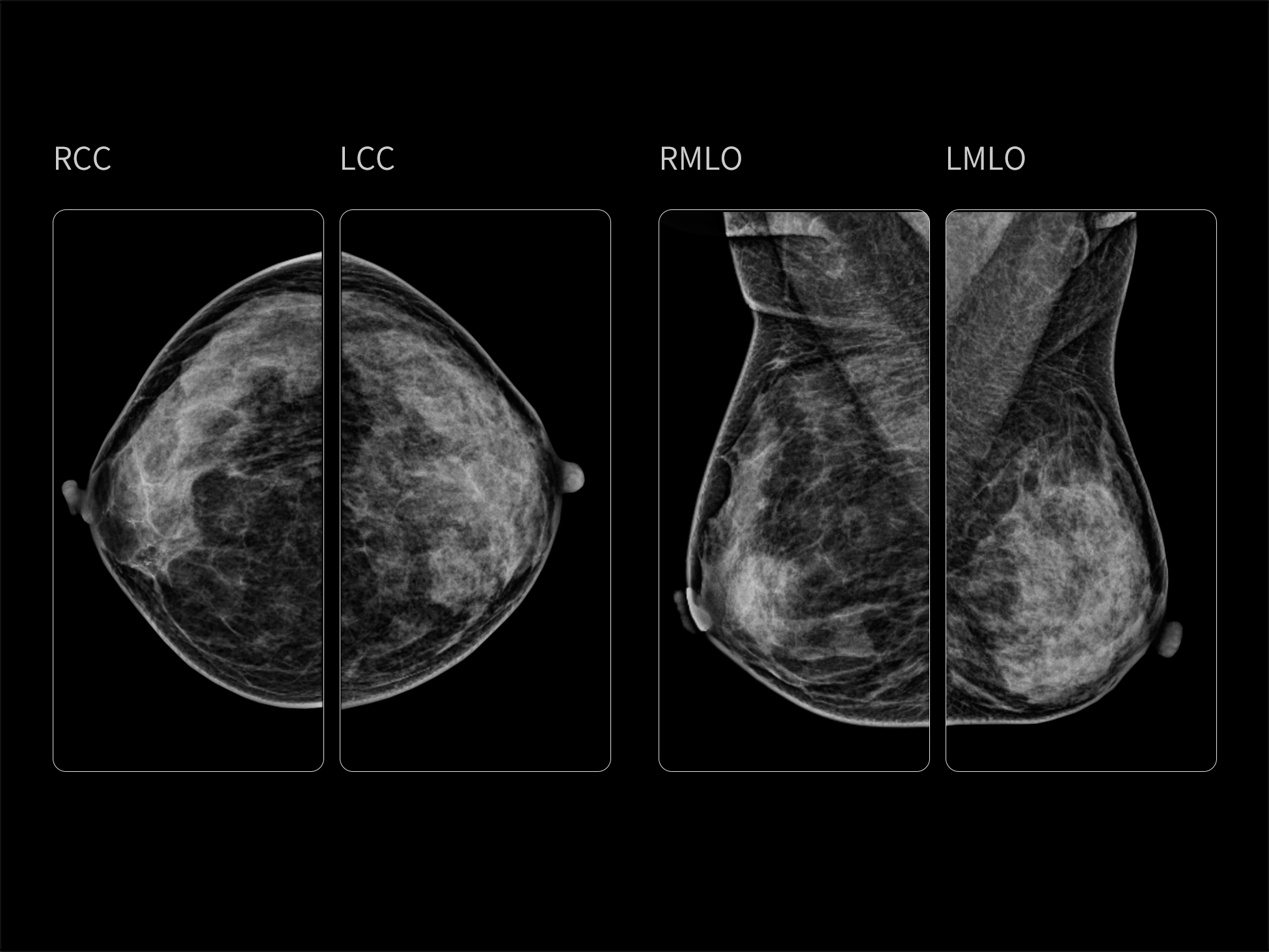
Spoľahlivo čistý a jasný obraz
uMammo 590u poskytuje stabilne ostré, detailné snímky, aby bol každý klinický prípad zachytený s maximálnou presnosťou. Či sa jedná o komplexný prípad alebo husté prsné tkanivo, uMammo 590u poskytuje potrebne kvalitný obraz pre presnú diagnostiku.
Príklady z praxe
![]() |
![]() |
Poptávka
Vyplňte prosím níže uvedený formulář, rádi Vám pošleme požadované informace nebo cenovou nabídku.





